Orthodontics

Dental Braces

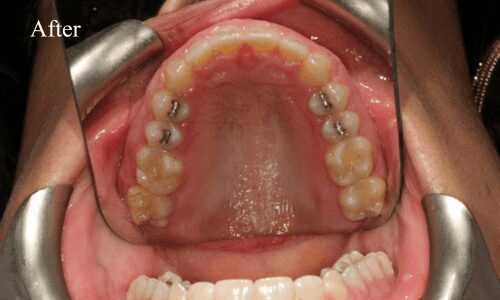
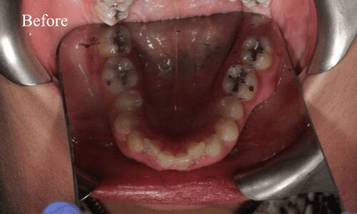
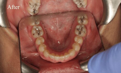
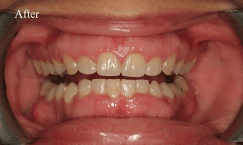
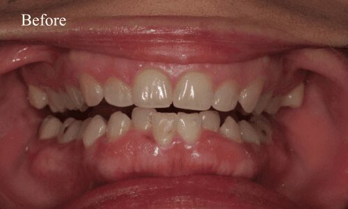
Dental braces are orthodontic devices that are used to correct the teeth and jaw structures. You may have misaligned teeth as a result of genetics, accidents or injuries, irregular gaps within the teeth, etc. which results in bad chewing patterns and spoils the overall aesthetics of your face. At Grand Smiles Dental, the leading Katy dental clinic, we are here to help with a wide array of orthodontic treatment options.

Invisalign

Invisalign consists of a series of clear plastic trays that hold onto the teeth and gradually help them shift to proper positions. On your first visit to our Katy dental clinic, our dentist would take molds of your teeth to customize the Invisalign. Initially you’ll be required to wear the first set of aligners and when you get used to them you will be given your next three sets of Invisalign aligners. You’ll have to wear your Invisalign trays all the time, except while eating, brushing or flossing. The Invisalign trays are replaced every 2 weeks and during the visit we also check on the progress of your alignment. People wearing Invisalign often get results as early as 12 months, so long as they follow good Invisalign habits and wear their provided trays.

Invisalign Teen

Does your child suffer from orthodontic issues but is unwilling to wear braces? We offer an excellent solution to this problem. Grand Smiles Dental, the leading Katy dental clinic offers Invisalign Teen, which are virtually invisible braces that can be easily worn and removed. Invisalign Teen are a series of soft and clear plastic aligners that are very comfortable to wear and enable you child to smile confidently while wearing them – no fear of unsightly metal braces peeking through when they smile and they can eat whatever they want!

See What Our Patients Think About Us!

You can become one of the many satisfied patients at Grand Smiles Dental. Book an appointment now!