Restorative Dentistry

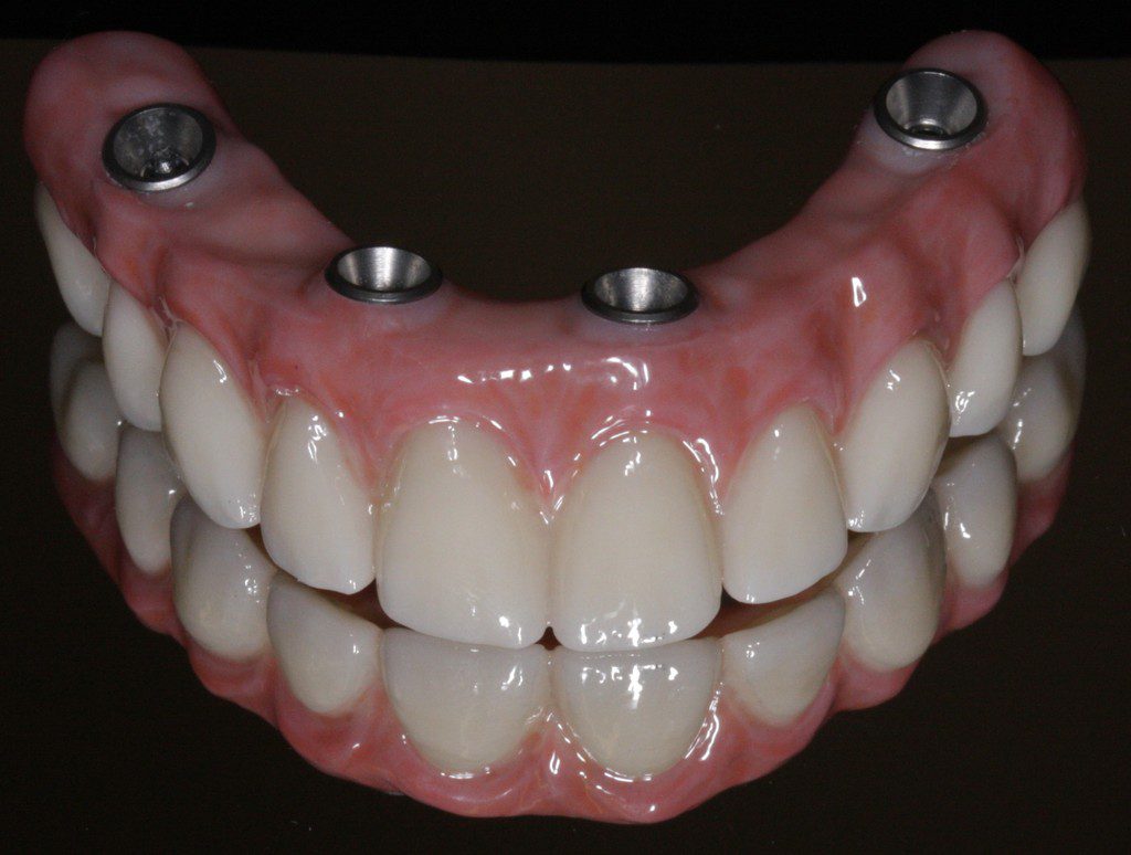
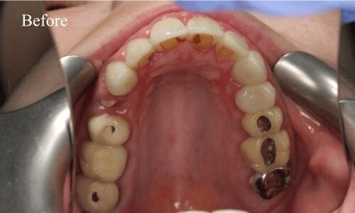
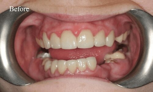
All-on-4 Implant Fixed Bridge

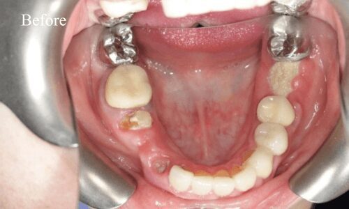
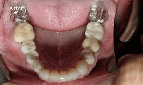
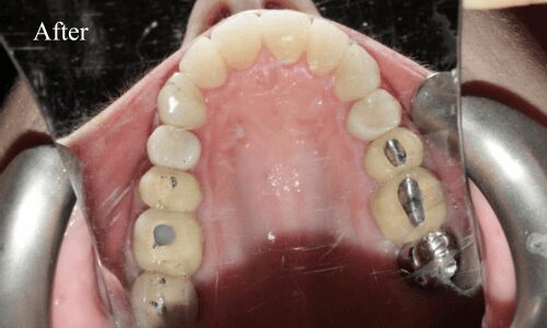
The All-on-4 procedure is a dental implant operation, but instead of placing tooth implants in the gums on an individual basis, this allows for four teeth – more commonly known as a bridge – to be placed in the mouth. In All-on-4 procedures, we place a minimum of four dental implants in each arch. Each arch receives a long bridge of 10 to 14 teeth, depending on the available bone.

Identifying trouble spots within the bone is done using our 3D Cone Beam Scanner. With thorough treatment planning and pre-surgical lab work, patients receive their teeth on the day of surgery. Yes! Patients walk out of the surgery with their teeth. Our patients never have to live a day without teeth. After three to four months of healing, a new and final bridge will be fabricated. An annual visit to our Katy dentist office is required in order to remove the fixed bridge and thoroughly clean it. Aside from that, the only maintenance required is what is common with natural teeth: brushing, flossing, and rinsing.

Dental Bridges

Dental bridges are also known as dental restorations and are comprised mainly of dental crowns which are attached to the sides of the abutment tooth. The dental crowns blend in perfectly with the abutment teeth and bridge the gap resulting in a natural appearance. The greatest advantage of using these dental bridges is their durability. They can last for many years if properly cared for.

Dental Crowns

A dental crown procedure is a rather simple dental treatment but one that requires a great deal of precision and expertise. All our procedures begin with an in-depth consultation.

Next, a cast of the patient’s teeth is taken to develop dental crowns perfectly customized according to the patient’s unique dental and bone structure. We want the dental crown to cover the affected tooth/teeth completely and blend naturally with the rest of the teeth. After the first appointment with us at our Katy dental clinic, the patient may be provided with temporary crowns until the time their final dental crowns are ready.

During a second appointment, the final and permanent dental crowns are capped over the affected teeth to cover them completely and are bonded with the help of a dental adhesive. We will use a local anesthetic at this stage if needed. Our Katy dental specialists ensure the dental crown process is fast, safe and pain free.

Dental Implants

A dental implant is an artificial tooth that is embedded into your jawbone to secure a replacement tooth or bridge in place. The dental implant is fixed in place by anchoring a titanium root to the jawbone and covering it with a tooth-colored crown. This restores the strength, functionality and the original aesthetics of the tooth. We are a Katy dental clinic with a reputation for creating the picture-perfect dental implants for our patients.

Dentures

Dentures refer to a set of artificial teeth that are customized so that they are as near to a perfect replacement of the missing teeth as possible. The professionals at Grand Smiles Dental clinic will analyze every aspect of your dental needs so that they can discuss with you all of your denture options.

There are many perks to having dentures once the surgeons at our Katy dental clinic complete the entire procedure; you are likely to have a complete set of beautiful, pearly white and functional teeth. You will be able to chew or bite food, speak properly and most importantly smile and rejoice to your heart’s content.

Full Mouth Rehabilitation

Full mouth rehabilitation or FMR is a restorative dental procedure which involves replacing all the teeth in the upper and lower jaws.This is a comprehensive treatment that combines general, cosmetic and restorative dentistry. This means you may have to get dental crowns, implants and whitening done at the same time to bring back the original strength, functionality, and aesthetic appeal of your teeth.

See What Our Patients Think About Us!

You can become one of the many satisfied patients at Grand Smiles Dental. Book an appointment now!